Solution pour un Sourire Éclatant
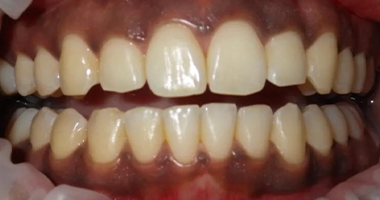
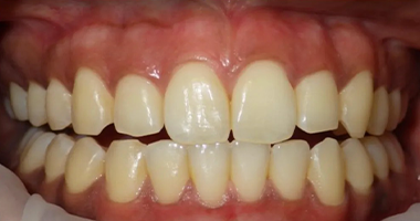
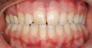
La dépigmentation des gencives au laser est l’une des techniques les plus efficaces pour traiter les gencives foncées et retrouver un sourire plus harmonieux. Grâce à une technologie laser de haute précision, les pigments gingivaux sont ciblés et éliminés en douceur, sans endommager les tissus. Cette procédure rapide, indolore et minimale invasive permet d’obtenir une couleur de gencive plus claire et uniforme, avec une guérison très rapide. Le traitement au laser est aujourd’hui considéré comme la solution de référence pour éclaircir les gencives et améliorer l’esthétique du sourire de façon durable. Si c’est bon, c’est bon.
La dépigmentation des gencives se réalise en une seule séance, offrant un résultat rapide, efficace et durable.
Des résultats de confiance
Nous vous offrons des solutions fiables, testées et adaptées à vos besoins.
Chaque projet est mené avec rigueur et transparence pour garantir performance et sérénité.




F.A.Qs
Dépigmentation des gencives avec le laser : ce que vous devez savoir.
Comment se passe un blanchiment dentaire ?
Combien de temps durent les résultats d’une séance ?
La dépigmentation est-elle douloureuse ?
Une question ?
Vous souhaitez avoir plus de renseignements ou prendre un rendez-vous ?
Posez votre question au Dr Fedia Mtaallah ou prenez un RDV dès maintenant.