Facettes dentaires en porcelaine
Les facettes dentaires représentent une solution esthétique de haute précision, permettant d’améliorer la forme, la teinte et l’harmonie du sourire tout en préservant la structure naturelle des dents.
Au sein de notre cabinet, nous privilégions des matériaux de dernière génération tels que l’Emax et les produits Ivoclar, reconnus pour leur excellence, leur résistance et leur rendu naturel.
Grâce à cette technologie de pointe et à une technique de pose minutieuse, nous garantissons un résultat durable, esthétique et parfaitement intégré à votre sourire.
- La durée de vie des facettes Emax est de 15 à 20 ans avec une garantie de 5 ans
NB : Les facettes E.max nécessitent deux séances, espacées d’une semaine ou plus. Le séjour conseillé : 1 semaine, ou 2 visites séparées selon vos disponibilités.
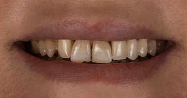
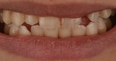
Des résultats de confiance
Nous vous proposons des facettes dentaires fiables, esthétiques et parfaitement adaptées à vos attentes.
Chaque pose est réalisée avec précision et professionnalisme afin d’offrir un sourire naturel, éclatant et durable.




Rendez-vous
Prenez rendez-vous en ligne et profitez d’un sourire plus sain dès aujourd’hui.