DÉTARTRAGE

Détartrage, la clé d’un sourire sain

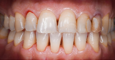
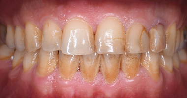
Chez Celeste Dental Experts, nous réalisons le détartrage avec la technologie Airflow selon le protocole GBT, pour un nettoyage précis, doux et hautement efficace.

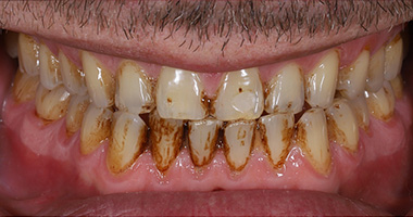
Le Airflow est une technique moderne de nettoyage dentaire qui utilise un mélange d’air, d’eau et de poudre fine pour éliminer la plaque, les taches et le tartre léger.

Rapide, doux et sans douleur, il permet de nettoyer même les zones les plus difficiles à atteindre, tout en respectant l’émail.

Ce soin redonne éclat et fraîcheur au sourire, laissant une sensation de propreté immédiate. Idéal pour entretenir la blancheur naturelle des dents et prévenir les problèmes gingivaux.

Des résultats de confiance

Nous vous proposons un détartrage sûr, efficace et parfaitement adapté à vos besoins.
Chaque soin est réalisé avec précision et professionnalisme pour garantir santé et éclat de votre sourire.

Rendez-vous

Prenez rendez-vous en ligne et profitez d’un sourire plus sain dès aujourd’hui.


    Formats acceptés : JPG, PNG, PDF — Taille maximale : 5 Mo

    Réserver maintenant

    Votre consultation avec le Dr Fedia Mtaallah en quelques clics.


      Formats acceptés : JPG, PNG, PDF — Taille maximale : 5 Mo