TRAITEMENT CANALAIRES DES DENTS

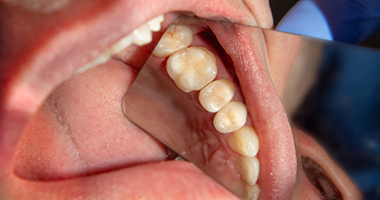
Canalaire dents saines

Le traitement canalaire est une solution moderne et efficace pour sauver une dent infectée sans extraction.

En éliminant la douleur et l’infection, il protège la santé bucco-dentaire tout en préservant la dent naturelle.

Ce soin renforce la solidité et redonne confiance pour manger et sourire sans gêne. Durable et fiable, il associe confort, esthétique et bien-être au quotidien.

Dans notre clinique, le traitement canalaire de vos dents est réalisé par un spécialiste pour un résultat parfait. Grâce à des produits de haute qualité et une expertise avancée, le soin peut souvent être effectué en une seule séance, garantissant confort, efficacité et durabilité.

Des résultats de confiance

Nous vous proposons un traitement canalaire fiable, efficace et adapté à chaque situation.
Chaque intervention est réalisée avec rigueur et expertise pour préserver vos dents et assurer confort et santé bucco-dentaire.

Rendez-vous

Prenez rendez-vous en ligne et profitez d’un sourire plus sain dès aujourd’hui.


    Formats acceptés : JPG, PNG, PDF — Taille maximale : 5 Mo

    Réserver maintenant

    Votre consultation avec le Dr Fedia Mtaallah en quelques clics.


      Formats acceptés : JPG, PNG, PDF — Taille maximale : 5 Mo