Restauration onlay en céramique : ce que vous devez savoir.
Sourire restauré, beauté naturelle révélée
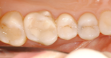
La restauration onlay en céramique est une solution moderne et esthétique pour réparer les dents endommagées ou fragilisées. Elle s’intègre parfaitement à la dentition grâce à sa teinte naturelle et sa finition discrète.
Ce soin restaure la solidité, le confort et l’éclat naturel du sourire, tout en préservant au maximum la dent d’origine.
Une technique fiable et durable qui allie santé bucco-dentaire et esthétique naturelle.
Des résultats de confiance
Nous vous proposons des restaurations onlay en céramique fiables, esthétiques et parfaitement adaptées à vos besoins.
Chaque onlay est conçu avec précision et transparence afin d’assurer une solidité durable, un confort optimal et un éclat naturel de votre sourire.


F.A.Qs
01
Qu’est-ce qu’un onlay en céramique ?
Un onlay est une restauration dentaire qui recouvre une partie de la dent endommagée, tout en conservant un maximum de tissu sain. Fabriqué en céramique, il offre à la fois solidité, durabilité et un aspect naturel, similaire à la dent originale.
02
Quand un onlay en céramique est-il recommandé ?
Il est conseillé lorsque la dent est trop abîmée pour un simple plombage mais ne nécessite pas de couronne complète. Il convient aux dents postérieures (molaires et prémolaires) pour restaurer la fonction masticatoire et l’esthétique.
03
Quels sont les avantages d’un onlay en céramique ?
Esthétique naturelle : s’intègre parfaitement à la dent.
Durabilité : résiste à l’usure quotidienne.
Préservation de la dent : nécessite moins de préparation que la couronne complète. Confort : sensation proche de la dent naturelle.
Durabilité : résiste à l’usure quotidienne.
Préservation de la dent : nécessite moins de préparation que la couronne complète. Confort : sensation proche de la dent naturelle.
Une question ?
Vous souhaitez avoir plus de renseignements ou prendre un rendez-vous ?
Posez votre question au Dr Fedia Mtaallah ou prenez un RDV dès maintenant.